院内と最新設備
院内について
歯科医療の悩みでもある、「音が嫌い・痛い・怖い」 というイメージを改善し、リラックスして頂ける空間づくりをしております。
- チェアサイドの待ち時間にはDVDをお楽しみ頂けます。
- お口をゆすぐお水や空気にも配慮しています。
- キッズスペースも完備していますので、安心してお子様とご一緒にご来院下さい。
お庭では、季節のお花、そして何時でもスタッフの笑顔で、患者様をお迎え致します。
※ 画像をクリックすると拡大します
医院設備
※ 画像をクリックすると拡大します
最新医療設備
オペ専用室
オペ専用室には、専用器材(歯科用マイクロスコープなど)を導入し、インプラントや審美治療を受けられる患者様にはリラックスして手術・治療を受けて頂いてます。
歯科用マイクロスコープ(※歯科用顕微鏡)
20〜30倍の倍率で拡大することにより、より正確で、より精密な治療が可能です。
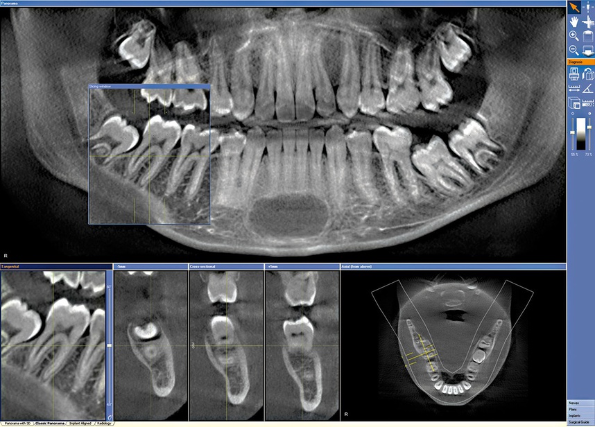
歯科用CT
治療をお受けになる患者様には必須のCT撮影が院内にて可能となりました。
術前の診断・術後のご説明をモニターにてさせていただきます。

